New Directory Of Services - 2020 edition
/Discover all our services in one convenient overview.
Read MoreNew viruses discovered! What does that mean for your facility?
/Learn all about them in Prague at FELASA 2019.
Tuesday, June 11 | Time: 16:30 - 18:00 | Location: CLUB C, Clinical Club Goes Viral | Speaker: Cindy Besch-Williford
Join our seminar @ FELASA 2019 in Prague
/Title: Opti Health Monitoring programs, enhancing the 3R and the 3E (efficiency, efficacy and expenses). Speaker: Massimo Foa. Location: Terrace 2A , see the red arrow on the floor plan below.
Read MoreNew pathogen discovered in Immunocompromised Mice
/The IDEXX BioAnalytics Scientists discovered a new pathogen in Immunocompromised Mice - Corynebacterium (HAC2). Which conclusions can we draw at the moment and what does this mean for your facility? Learn more in this on demand webinar.
Read MoreFELASA Survey On Fish Health Monitoring
/Please take the time to fill in this survey on fish used for research and contribute to harmonize and refine aquatic lab procedures.
The survey will take 10-15 minutes to complete and it will close on 31st May 2018.
Read MoreInterview with David Mayo in SECAL #76
/In the April issue of the SECAL periodical, IDEXX BioAnalytics colleague David Mayo had been interviewed on SECAL membership and the 3R's. Read the original interview in Spanish and below the translated English version.
Read MoreCase Study: Mouse Parvovirus Outbreak Likely Caused by....?
/What was the cause of an outbreak of mouse parvovirus (MPV) in an academic research institution?
Read MoreWebinar - Is necropsy dead in animal Health Monitoring? - now available on demand
/Environmental monitoring holds the promise for increasing pathogen detection and 3R compliance. But can it live up to that promise?
Read MoreNew virus discovered - Update!
/In November 2016 we reported the discovery of a new rat Polyomavirus by IDEXX researchers. Now we can share the peer reviewed publication, which includes additional information regarding the characterization, transmission, and preliminary epidemiologic studies.
Read MoreSurvey result: it looks like necropsy is on it's way out in animal health monitoring! - Do you agree?
/According to survey data, it looks like necropsy is on it's way out as a preferred method in Animal Health Monitoring. in the Nordics .
Read MoreMeet us at the 2nd Annual Animal Health Investment Europe Forum
/IDEXX BioAnalytics is proud to sponsor the 2nd Annual Animal Health Investment Europe Forum running 22-23 Feb, 2017 in London.
Read MoreNew pathogenic virus discovered by IDEXX BioAnalytics - 32% of rat models affected*
/
New virus discovered – what does it mean for your facility?
The newly discovered Rat polyomavirus 2 (RPyV2) can cause severe disease and mortality in immunodeficient rats. No clinical signs have been observed in immunocompetent rats but a possible impact on research data in apparently healthy animals is not excluded. Population surveys found antibodies to this novel virus in 32% of immunocompetent rats used in biomedical research in North America.
These high prevalence rates are common for newly discovered viruses. This of course happens because there was no exclusion possible before. The same happened with the discovery of Murine Norovirus (MNV). As a facility manager, you might think that prevalence would not be a sufficient reason to test but the main reason to check for this new virus is because of its possible impact on research data.
This post is to tell you all about the newly discovered Rat polyomavirus 2, what the clinical signs are, how to make sure your facility has not been exposed and what the possible impact is on research data.
Quick overview:
Description
RPyV2 is an epitheliotropic polyomavirus
Diagnosis
Diagnosis of RPyV2 infection can be made by serology for immunocompetent rats and faecal PCR for immunodeficient rats.
Shedding
Virus is shed primarily in respiratory and salivary secretions. Shedding is prolonged in immunodeficient rats and transient in immunocompetent rats.
Transmission
Virus transmission occurs by direct contact. Fecal-oral and sexual transmission may also occur.
Prevalence
Prevalence of RPyV2 infection in rat research colonies in North America is 32%
Test available
IDEXX BioResearch is the only company that can offer health monitoring specifically to detect Rat polyoma virus 2, both by serology (serum or Opti-Spot(tm)) and Real-PCR. The only thing you need is 2 fecal pellets (immunodeficient rats) or an Opti-Spot(tm) strip (immunocompetent rats) and we can do the test for you.
How was the virus discovered?
Due to increasing signs of disease and death among their females and pups in a SCID rat colony, a university asked us to diagnose some of their models.
We ran our full diagnostic profiles and used the most advanced technologies, but initial results came back negative. We than assembled a multidisciplinary team of IDEXX experts to investigate. The vivarium staff, together with experts from the microbiology, PCR, Serology and the Pathology department, combined their expertise and found the cause.
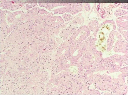
Our histological examination demonstrated viral inclusions in multiple tissues; most notably, within epithelial cells of the respiratory tract and salivary glands.
Finally, deep sequencing identified a novel virus that is unrelated to any known virus that infects rats, mice, or other animals. The novel virus is of the family Polyomaviridae and was provisionally named Rattus norvegicus polyomavirus 2 (RPyV2).
After this discovery it was a top priority for us to develop accurate assays to detect this specific virus. The research teams developed and validated these new PCR and serology assays for the novel Rat polyomavirus 2 (RatPyV2).
What is the disease expression?
What are the clinical signs to look out for regarding Rat polyomavirus 2?
The clinical signs can range from mild to severe as described below but can be also aspecific. Therefore, for an accurate diagnosis and for screening purposes it is essential to perform a serological or PCR test.
Clinical signs in immunodeficient rats included:
- Emaciation
- Hunched posture
- Dyspnea
- Mortality of dams and pups
Evaluation of tissues revealed:
- Severe degeneration of the salivary glands
- Severe degeneration of the exorbital lacrimal glands
- Severe degeneration of Harderian glands
- Viral inclusion in the epithelium of the respiratory and reproductive tracts
Histological examination
Histological examination revealed severe atrophy of the salivary glands, the exorbital lacrimal glands and Harderian glands.
May this virus impact your research?
The virus is capable of causing severe clinical signs in immunodeficient rats. No clinical signs have been observed in immunocompetent rats but we do not know yet if it may have a secondary impact on research data because of immunological response or being oncogenic as many viruses of the same family.
Does it affect mice?
Currently there are no signs that the Rat polyomavirus 2 is capable of infecting mice.
How to find out if this virus is present in your facility?
To date, population surveys in North America labs, found antibodies to this virus in 32% of rats.
- A serological test on immunocompetent animals or faecal PCR in immunodeficient animals is available at IDEXX BioResearch.
- PCR on immunocompetent rats is not recommended because of the transient shedding.
* in our US laboratory setting
The IDEXX BioResearch team








